Nhiều phụ nữ rời phòng khám với tờ kết quả siêu âm ghi “nang đơn thùy buồng trứng” và hàng loạt câu hỏi trong đầu: Có phải ung thư không? Có cần mổ không? Có ảnh hưởng đến việc có con không? Bài viết này sẽ giải đáp từng câu hỏi đó một cách rõ ràng.
Nang đơn thùy buồng trứng là gì?
Nang đơn thùy buồng trứng là thuật ngữ chẩn đoán hình ảnh, dùng để mô tả một khối nang ở buồng trứng có cấu trúc chỉ gồm một khoang chứa dịch duy nhất và không có vách ngăn bên trong. Dạng nang này thường được xếp vào nhóm u nang buồng trứng dạng đơn giản. Trên siêu âm, nang đơn thùy thường có thành mỏng, bờ rõ và bên trong chứa dịch, vì vậy hình ảnh hiển thị khá đồng nhất.
Trong nhiều trường hợp, nang đơn thùy có bản chất lành tính và liên quan đến hoạt động sinh lý của buồng trứng, đặc biệt trong chu kỳ rụng trứng. Nang có thể hình thành khi nang noãn phát triển nhưng không vỡ hoặc khi hoàng thể sau rụng trứng tích tụ dịch.
Phần lớn các trường hợp nang đơn thùy không gây triệu chứng rõ ràng và thường được phát hiện tình cờ khi siêu âm phụ khoa định kỳ. Tuy nhiên, việc theo dõi kích thước cũng như đặc điểm của nang theo thời gian vẫn rất quan trọng, nhằm đánh giá chính xác tính chất của nang buồng trứng và kịp thời phát hiện những dấu hiệu bất thường nếu có.

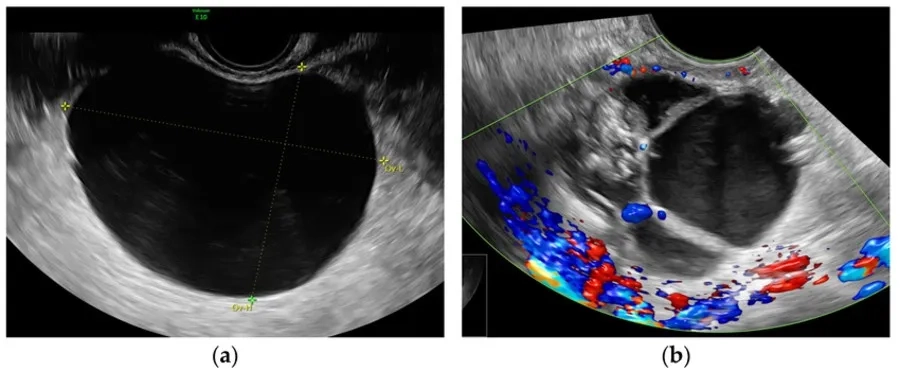
Hình ảnh siêu âm so sánh nang buồng trứng đơn giản, một ngăn, không phản âm (a) và nang buồng trứng phức tạp (b)
Đặc điểm hình ảnh của nang đơn thùy trên siêu âm
Siêu âm phụ khoa là phương pháp quan trọng giúp phát hiện và đánh giá đặc điểm của các khối nang buồng trứng. Thông qua hình ảnh siêu âm, bác sĩ có thể nhận biết cấu trúc của nang, từ đó phân biệt nang đơn thùy với các dạng nang phức tạp hơn và đánh giá bước đầu nguy cơ lành tính hay bất thường.
Nang đơn thùy thường có một số đặc điểm hình ảnh điển hình sau:
- Chỉ có một khoang dịch duy nhất, khối nang không bị chia thành nhiều ngăn và không xuất hiện các vách ngăn bên trong.
- Thành nang mỏng và bờ rõ, đường viền của nang đều, không gồ ghề hay dày bất thường.
- Bên trong chứa dịch nên hình ảnh echo trống: Cấu trúc bên trong nang thường đồng nhất, không có mô đặc.
- Không có nốt sùi hoặc thành phần đặc: Đây là đặc điểm quan trọng giúp gợi ý tính chất lành tính của nang.
- Kích thước nang có thể thay đổi: Nhiều nang nhỏ có thể tự thoái triển sau vài chu kỳ kinh nguyệt.
Những đặc điểm này giúp bác sĩ bước đầu đánh giá tính chất của khối nang. Tuy nhiên, để xác định chính xác mức độ nguy cơ và hướng theo dõi phù hợp, bác sĩ vẫn cần kết hợp thêm các yếu tố khác như kích thước nang, tuổi của người bệnh và các triệu chứng đi kèm.
Phân biệt nang đơn thùy với các dạng nang buồng trứng khác
Trong chẩn đoán phụ khoa, các nang buồng trứng thường được phân loại dựa trên cấu trúc hình ảnh quan sát được trên siêu âm. Việc nhận biết rõ đặc điểm của từng dạng nang giúp bác sĩ đánh giá bước đầu nguy cơ lành tính hay bất thường, từ đó lựa chọn phương pháp theo dõi hoặc điều trị phù hợp.
So với các dạng nang phức tạp hơn, nang đơn thùy có cấu trúc khá đơn giản và thường có nguy cơ lành tính cao. Dưới đây là bảng so sánh một số dạng nang buồng trứng thường gặp dựa trên đặc điểm hình ảnh:
Dạng nang buồng trứng | Đặc điểm cấu trúc | Hình ảnh trên siêu âm | Ý nghĩa lâm sàng |
Nang đơn thùy | Chỉ có một khoang dịch, không có vách ngăn | Thành mỏng, bờ rõ, bên trong dịch đồng nhất (echo trống) | Thường lành tính, có thể là nang chức năng |
Nang đa thùy | Khối nang được chia thành nhiều khoang bởi các vách ngăn | Có nhiều vách bên trong nang | Cần theo dõi kỹ hơn vì cấu trúc phức tạp |
Nang có thành phần đặc | Trong khối nang xuất hiện mô đặc | Hình ảnh hỗn hợp giữa dịch và mô đặc | Có thể liên quan đến u nang buồng trứng cần đánh giá thêm |
Khối đặc buồng trứng | Chủ yếu là mô đặc, ít hoặc không có dịch | Echo không đồng nhất, không phải dạng nang | Có thể liên quan đến các khối u buồng trứng |
Nguyên nhân hình thành nang
Nang đơn thùy có thể hình thành do nhiều nguyên nhân khác nhau. Trong đó, phần lớn các trường hợp liên quan đến hoạt động sinh lý bình thường của buồng trứng trong chu kỳ kinh nguyệt. Tuy nhiên, một số yếu tố khác cũng có thể góp phần làm xuất hiện các khối nang ở buồng trứng. Một số nguyên nhân thường gặp bao gồm:
Nang chức năng liên quan đến chu kỳ rụng trứng: Khi nang noãn không vỡ để giải phóng trứng, dịch tích tụ lại và hình thành nang buồng trứng. Ngoài ra, sau khi rụng trứng, hoàng thể đôi khi cũng có thể tích tụ dịch hoặc máu và hình thành nang hoàng thể.
- Rối loạn nội tiết tố: Sự mất cân bằng hormone trong cơ thể có thể ảnh hưởng đến quá trình phát triển và rụng trứng, khiến các nang noãn không thoái triển đúng thời điểm và phát triển thành nang buồng trứng.
- Một số bệnh lý buồng trứng: Trong một số trường hợp, nang đơn thùy có thể liên quan đến các u nang buồng trứng lành tính hoặc những bất thường khác ở buồng trứng.
- Yếu tố lối sống và sức khỏe tổng thể: Căng thẳng kéo dài, chế độ sinh hoạt không điều độ hoặc một số tình trạng sức khỏe cũng có thể ảnh hưởng đến hoạt động nội tiết, từ đó làm tăng khả năng hình thành nang buồng trứng.

Nang đơn thùy có thể liên quan đến các u nang buồng trứng lành tính
Dấu hiệu nhận biết nang đơn thùy
Hiểu được nguyên nhân hình thành nang giúp bạn nhận ra sớm hơn những tín hiệu cơ thể đang gửi đến. Vậy cần chú ý đến những dấu hiệu nào? Phần lớn các trường hợp nang đơn thùy không gây ra triệu chứng rõ ràng, đặc biệt khi kích thước nang còn nhỏ. Nhiều phụ nữ chỉ phát hiện tình trạng này một cách tình cờ trong quá trình khám phụ khoa hoặc siêu âm kiểm tra sức khỏe định kỳ.
Tuy nhiên, khi nang phát triển lớn hơn hoặc ảnh hưởng đến hoạt động của buồng trứng, người bệnh có thể xuất hiện một số biểu hiện sau:
- Đau vùng bụng dưới: Cơn đau thường bắt đầu ở vùng hạ vị và có thể lan sang vùng chậu hoặc các khu vực lân cận. Mức độ đau có thể âm ỉ kéo dài hoặc tăng lên khi nang có kích thước lớn.
- Rối loạn kinh nguyệt: Chu kỳ kinh có thể trở nên thất thường, bao gồm tình trạng trễ kinh, rong kinh kéo dài hoặc đôi khi vô kinh.
- Cơ thể mệt mỏi và khó chịu: Một số trường hợp có thể kèm theo buồn nôn, nôn hoặc cảm giác mệt mỏi kéo dài, đặc biệt khi nang buồng trứng ảnh hưởng đến hoạt động nội tiết.
- Triệu chứng chèn ép cơ quan lân cận: Khi nang buồng trứng phát triển kích thước lớn, có thể chèn ép bàng quang hoặc đường tiêu hóa, gây ra các biểu hiện như tiểu nhiều lần, tiểu khó, tiểu buốt, táo bón hoặc rối loạn tiêu hóa.
- Dấu hiệu xoắn nang buồng trứng: Nếu khối nang bị xoắn, người bệnh có thể xuất hiện cơn đau bụng dữ dội, buồn nôn, nôn và chướng bụng. Đây là tình trạng cần được can thiệp y tế kịp thời.
- Dấu hiệu vỡ nang buồng trứng: Khi nang bị vỡ, người bệnh thường đau bụng dữ dội, có thể kèm theo chóng mặt, da nhợt nhạt, vã mồ hôi hoặc dấu hiệu mất máu. Trường hợp này cần được cấp cứu ngay để tránh nguy cơ biến chứng nghiêm trọng.
Những biểu hiện trên có thể khác nhau ở từng người và không phải lúc nào cũng xuất hiện đồng thời. Vì vậy, khi có các triệu chứng bất thường kéo dài ở vùng bụng dưới hoặc chu kỳ kinh nguyệt thay đổi, bạn nên đi khám để được bác sĩ đánh giá và tư vấn phù hợp.

Đau bụng dưới là dấu hiệu có thể gặp khi có nang buồng trứng
Nếu bạn đang có một trong những dấu hiệu trên, đừng chờ đợi - một cuộc siêu âm phụ khoa có thể cho bạn câu trả lời rõ ràng. Đặt lịch khám tại Khoa Phụ - Bệnh viện Đại học Phenikaa qua hotline 1900 886648.
Nang đơn thùy buồng trứng có nguy hiểm không?
Trong đa số trường hợp, nang đơn thùy có cấu trúc đơn giản và thường mang tính chất lành tính. Nhiều khối nang liên quan đến hoạt động sinh lý của buồng trứng có thể tự thoái triển sau một vài chu kỳ kinh nguyệt mà không cần điều trị đặc hiệu.
Tuy nhiên, nếu nang phát triển kích thước lớn hoặc xuất hiện các bất thường, người bệnh vẫn có thể đối mặt với một số biến chứng nhất định. Những biến chứng sau đây cần được lưu ý đặc biệt:
1. Xoắn buồng trứng
Xoắn buồng trứng xảy ra khi khối nang làm thay đổi vị trí hoặc trọng lượng của buồng trứng. Buồng trứng xoay quanh cuống mạch máu, làm tắc nghẽn lưu thông và gây đau dữ dội đột ngột. Nếu không được phát hiện và xử trí kịp thời, buồng trứng có thể bị thiếu máu và hoại tử, ảnh hưởng đến chức năng sinh sản.

Xoắn buồng trứng là biến chứng có thể xảy ra khi nang phát triển lớn
2. Vỡ nang buồng trứng
Vỡ nang buồng trứng xảy ra khi thành nang bị rách hoặc vỡ, khiến dịch trong nang hoặc máu tràn vào ổ bụng. Người bệnh thường xuất hiện cơn đau bụng đột ngột và dữ dội, đôi khi kèm theo chóng mặt hoặc kiệt sức nếu có chảy máu nhiều. Đây là tình trạng cần được thăm khám và xử trí y tế kịp thời để hạn chế nguy cơ biến chứng.
3. Chèn ép các cơ quan lân cận
Khi phát triển lớn, khối nang có thể chèn ép lên các cơ quan lân cận trong ổ bụng và vùng chậu. Tình trạng này có thể dẫn đến các biểu hiện như tiểu nhiều lần, tiểu khó, táo bón hoặc cảm giác nặng bụng dưới. Những triệu chứng này thường xuất hiện khi khối nang đã tăng kích thước đáng kể.
4. Nguy cơ tiến triển thành khối u buồng trứng
Phần lớn nang đơn thùy có tính chất lành tính. Tuy nhiên, trong một số trường hợp, khối nang có thể liên quan đến các u nang buồng trứng hoặc xuất hiện những đặc điểm bất thường cần được theo dõi kỹ hơn. Vì vậy, việc siêu âm định kỳ và đánh giá đặc điểm của khối nang là rất quan trọng để phát hiện sớm các dấu hiệu nghi ngờ và có hướng xử trí phù hợp.
Các phương pháp chẩn đoán
Để xác định chính xác nang đơn thùy, bác sĩ thường kết hợp thăm khám lâm sàng với các phương pháp chẩn đoán hình ảnh và xét nghiệm cần thiết. Những kỹ thuật này giúp đánh giá cấu trúc của khối nang, kích thước, vị trí cũng như nguy cơ biến chứng, từ đó đưa ra hướng theo dõi hoặc điều trị phù hợp. Các phương pháp thường được áp dụng bao gồm:
1. Khám phụ khoa lâm sàng
Khám phụ khoa là bước thăm khám cơ bản giúp bác sĩ đánh giá tình trạng chung của cơ quan sinh sản và phát hiện những dấu hiệu bất thường ở vùng chậu. Trong quá trình khám, bác sĩ có thể kiểm tra độ đau khi ấn vùng hạ vị, cảm nhận kích thước hoặc sự hiện diện của khối bất thường tại buồng trứng. Mặc dù phương pháp này không thể xác định chính xác cấu trúc của nang, nhưng giúp định hướng cho các bước kiểm tra cận lâm sàng tiếp theo.
2. Siêu âm buồng trứng
Siêu âm buồng trứng là kỹ thuật chẩn đoán hình ảnh được sử dụng phổ biến để đánh giá các khối nang ở buồng trứng. Trong đó, siêu âm đầu dò âm đạo thường cho hình ảnh rõ nét hơn so với siêu âm ổ bụng, đặc biệt hữu ích khi cần đánh giá chi tiết cấu trúc nang và phát hiện các đặc điểm bất thường nhỏ.

Siêu âm đầu dò âm đạo giúp phát hiện chính xác nang buồng trứng
3. Xét nghiệm hỗ trợ khi cần thiết
Trong một số trường hợp, bác sĩ có thể chỉ định xét nghiệm CA-125 (chất chỉ điểm u buồng trứng) hoặc các xét nghiệm khác để hỗ trợ đánh giá. Lưu ý rằng CA-125 không đặc hiệu - chỉ số này có thể thay đổi do nhiều nguyên nhân khác nhau, và kết quả cần được bác sĩ phân tích kết hợp với toàn bộ bức tranh lâm sàng.
Khi nào cần điều trị nang đơn thùy buồng trứng?
Trong thực tế khám lâm sàng, nhiều phụ nữ ở độ tuổi sinh sản được phát hiện nang đơn thùy (unilocular cyst) trong lần siêu âm định kỳ đầu tiên. Phần lớn trong số họ không có triệu chứng gì và trong nhiều trường hợp, nang có thể tự thoái triển sau 1–3 chu kỳ kinh nguyệt - tuy nhiên điều này cần được xác nhận qua siêu âm kiểm tra định kỳ.
Tùy từng trường hợp, bác sĩ có thể lựa chọn theo dõi định kỳ, can thiệp nội khoa hoặc phẫu thuật nội soi (laparoscopy). Quyết định điều trị phụ thuộc vào kích thước nang, triệu chứng và kết quả đánh giá lâm sàng tổng thể.
Bác sĩ thường cân nhắc can thiệp trong các tình huống cụ thể sau:
1. Nang có kích thước lớn hoặc tăng kích thước nhanh
Nang đơn thùy có kích thước nhỏ thường được theo dõi định kỳ, vì nhiều trường hợp có thể tự thoái triển theo thời gian. Ngưỡng cân nhắc can thiệp phụ thuộc vào độ tuổi và tình trạng hormone: ở phụ nữ còn kinh nguyệt, bác sĩ thường theo dõi nang dưới 5–6cm; ở phụ nữ sau mãn kinh, ngưỡng này thấp hơn. Bác sĩ sẽ đánh giá cụ thể dựa trên hình ảnh siêu âm và các yếu tố lâm sàng của từng người.

Bác sĩ sẽ cân nhắc điều trị khi nang có kích thước lớn từ 5 - 7cm
2. Nang gây triệu chứng rõ ràng
Trong trường hợp khối nang gây ra các biểu hiện lâm sàng như đau vùng bụng dưới, cảm giác nặng vùng chậu, rối loạn kinh nguyệt hoặc khó chịu khi sinh hoạt, việc điều trị có thể được chỉ định nhằm giảm triệu chứng và cải thiện chất lượng cuộc sống của người bệnh.
3. Nang có dấu hiệu nghi ngờ biến chứng
Nếu nang buồng trứng có nguy cơ gây ra các biến chứng như xoắn buồng trứng, vỡ nang hoặc chèn ép các cơ quan lân cận, bác sĩ có thể cân nhắc can thiệp điều trị. Những tình trạng này thường đi kèm với các biểu hiện như đau bụng dữ dội, buồn nôn hoặc chướng bụng và cần được đánh giá kịp thời.
4. Nang có đặc điểm bất thường trên siêu âm
Trong một số trường hợp, khối nang có thể xuất hiện các dấu hiệu bất thường trên siêu âm như thành nang dày, bờ không đều, xuất hiện vách ngăn hoặc cấu trúc đặc bên trong. Khi đó, bác sĩ sẽ đánh giá kỹ hơn để loại trừ nguy cơ liên quan đến các khối u buồng trứng và có thể chỉ định điều trị hoặc theo dõi chặt chẽ hơn.
Khi nào bạn nên đi khám bác sĩ?
Bạn nên đi khám bác sĩ khi xuất hiện các dấu hiệu sau:
- Đau bụng dưới kéo dài hoặc đau tăng dần, đặc biệt khi cơn đau xuất hiện ở một bên vùng chậu.
- Rối loạn chu kỳ kinh nguyệt như trễ kinh, rong kinh hoặc kinh nguyệt không đều trong nhiều chu kỳ.
- Cảm giác nặng bụng, đầy bụng hoặc chướng bụng dưới kéo dài không rõ nguyên nhân.
- Tiểu khó, tiểu nhiều lần hoặc rối loạn tiêu hóa, có thể do khối nang chèn ép các cơ quan lân cận.
- Đau bụng dữ dội kèm buồn nôn, nôn hoặc chóng mặt, đây có thể là dấu hiệu của biến chứng như xoắn hoặc vỡ nang buồng trứng và cần được thăm khám ngay.
Ngoài ra, bạn cũng nên khám phụ khoa và siêu âm định kỳ, đặc biệt khi đã từng được phát hiện nang buồng trứng trước đó, để theo dõi sự thay đổi của khối nang và đảm bảo sức khỏe sinh sản.

Khám phụ khoa định kỳ giúp phát hiện sớm nang buồng trứng
Kết luận
Nang đơn thùy buồng trứng trong phần lớn trường hợp không phải là điều đáng lo ngại, nhưng cũng không nên bỏ qua. Theo dõi định kỳ, hiểu rõ các dấu hiệu bất thường và chủ động thăm khám là cách tốt nhất để bảo vệ sức khỏe sinh sản của bạn lâu dài. Một cuộc siêu âm phụ khoa định kỳ - đó là tất cả những gì bạn cần để nắm rõ tình trạng của mình và hành động đúng thời điểm.
Nếu bạn có triệu chứng bất thường hoặc cần kiểm tra lại kết quả siêu âm, hãy đặt lịch khám tại Khoa Phụ - Bệnh viện Đại học Phenikaa qua hotline 1900 886648.






