'Kích thước túi ối bao nhiêu thì có tim thai?' là câu hỏi mà rất nhiều mẹ bầu - đặc biệt những mẹ lần đầu mang thai - thắc mắc khi theo dõi sự phát triển của con qua siêu âm. Trong bài viết dưới đây, Bệnh viện Đại học Phenikaa sẽ giúp bạn hiểu rõ hơn về dấu mốc quan trọng này, từ đó yên tâm hơn trên hành trình làm mẹ.
Túi ối là gì?
Trước khi tìm hiểu kích thước túi ối bao nhiêu thì có tim thai, mẹ bầu cần hiểu rõ túi ối là gì và vai trò của nó trong thai kỳ.
Theo đó, túi ối (hay còn gọi là túi thai) là một cấu trúc đặc biệt nằm trong tử cung, chứa chất lỏng gọi là nước ối. Đây là "ngôi nhà" an toàn của thai nhi, đảm bảo sự phát triển toàn diện trong suốt thai kỳ.
Bên trong túi ối chứa nước ối, một chất lỏng đặc biệt giàu dưỡng chất, bao gồm protein, glucose, hormone và tế bào gốc. Nước ối không chỉ giúp cung cấp dinh dưỡng, mà còn bảo vệ thai nhi khỏi các tác động bên ngoài, như chấn động hoặc sự thay đổi nhiệt độ.
Ngoài chức năng bảo vệ, túi ối còn đóng vai trò quan trọng trong việc hỗ trợ thai nhi phát triển. Nước ối tạo không gian để thai nhi cử động, giúp phát triển hệ cơ và xương. Đồng thời, việc thai nhi nuốt nước ối và tập thở trong môi trường này còn hỗ trợ hình thành và phát triển hệ hô hấp.

Túi ối là môi trường sống an toàn cho thai nhi phát triển khoẻ mạnh
Kích thước túi ối theo từng giai đoạn thai kỳ
Kích thước túi ối thay đổi theo từng tuần mang thai và là một chỉ số quan trọng để đánh giá sự phát triển ban đầu của thai nhi. Dưới đây là thông tin chi tiết về kích thước túi ối qua các giai đoạn thai kỳ, dựa trên các nguồn y khoa uy tín:
- Tuần 4: Kích thước túi ối dao động từ 3 – 6mm.
- Tuần 5: Đường kính túi ối tăng lên trong khoảng 5 – 12mm, trung bình là 6 – 10mm.
- Tuần 6: Túi ối lớn hơn, khoảng 10 – 15mm; thời điểm này thường phát hiện được tim thai qua siêu âm.
- Tuần 7: Kích thước đạt khoảng 15 – 27mm, thai nhi bắt đầu phát triển nhanh chóng.
- Tuần 8: Đường kính túi ối nằm trong khoảng 20 – 29mm.
- Tuần 9: Kích thước tiếp tục tăng, đạt khoảng 25 – 30mm.
- Tuần 10 – 11: Túi ối có thể đạt kích thước tối đa khoảng 36 – 41mm.
Sau tuần 10, kích thước túi ối không còn là chỉ số chính để đánh giá sự phát triển của thai nhi. Thay vào đó, các bác sĩ tập trung vào những chỉ số quan trọng hơn, như chiều dài đầu - mông (CRL) và các thông số siêu âm khác.
>>> Xem thêm: Chỉ Số Nước Ối Tính Theo MM: Bao Nhiêu Là Nguy Hiểm?

Hiểu rõ kích thước túi ối giúp mẹ bầu nắm bắt được quá trình phát triển của thai nhi và theo dõi sức khỏe hiệu quả
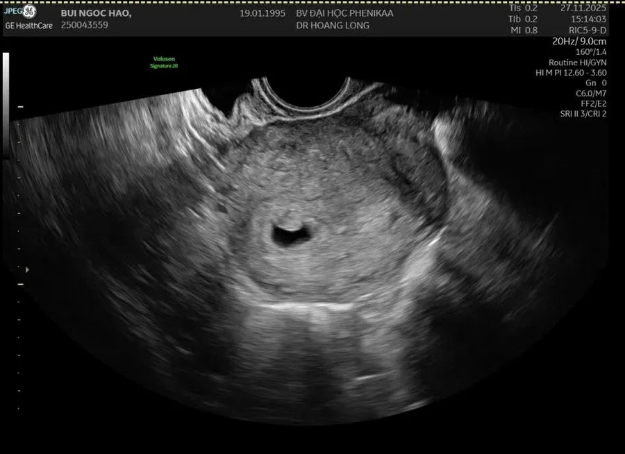
Kích thước túi ối bao nhiêu thì có tim thai?
Tim thai thường được phát hiện qua siêu âm, khi túi thai đạt kích thước khoảng 18 – 20mm, tương ứng với giai đoạn từ tuần thai thứ 6 đến tuần thứ 7. Tuy nhiên, thời điểm nghe được tim thai có thể khác nhau tùy thuộc vào từng trường hợp mang thai.
Ở tuần thứ 6 – 7, bác sĩ thường sử dụng thiết bị siêu âm Doppler cầm tay áp lên bụng thai phụ để khuếch đại và ghi lại âm thanh của tim thai. Đây là một bước quan trọng để đánh giá sự phát triển của thai nhi.
Một điểm quan trọng mẹ cần biết: siêu âm đầu dò âm đạo (transvaginal ultrasound) có thể phát hiện tim thai sớm hơn siêu âm qua thành bụng - đặc biệt khi túi thai còn nhỏ dưới 18mm. Đây là lý do bác sĩ đôi khi chỉ định thay đổi phương pháp siêu âm nếu chưa nghe được tim thai ở tuần 6. Nhịp tim thai bình thường trong giai đoạn này dao động từ 120–160 lần/phút.
Trong một số trường hợp, nếu không nghe được tim thai, nguyên nhân có thể do thai còn nhỏ hoặc thiết bị siêu âm không đủ nhạy. Khi đó, bác sĩ sẽ khuyến nghị mẹ kiểm tra lại sau khoảng một tuần. Điều này giúp đảm bảo kết quả chính xác hơn và loại trừ các vấn đề sức khỏe nghiêm trọng có thể ảnh hưởng đến thai nhi.

Tim thai thường xuất hiện khi túi thai đạt 18 – 20mm nhưng thời gian phát hiện có thể khác nhau ở mỗi trường hợp
Những vấn đề liên quan đến túi ối mà mẹ bầu cần quan tâm
Sự phát triển kích thước túi ối theo tuổi thai là một trong những yếu tố quan trọng đánh giá sự phát triển khỏe mạnh của thai nhi. Khi kích thước túi ối nhỏ hơn tuổi thai, điều này có thể là dấu hiệu thai nhi thiếu dinh dưỡng hoặc chậm phát triển. Ngược lại, túi ối lớn hơn tuổi thai có thể liên quan đến tình trạng bất thường về nước ối. Thông tin dưới đây là chi tiết về các vấn đề liên quan đến túi ối mà mẹ bầu cần chú ý.
1. Hiện tượng túi ối méo
Túi ối méo là tình trạng túi ối không có hình dạng bình thường, thường liên quan đến sự phát triển bất thường của thai nhi, làm tăng nguy cơ động thai hoặc dọa sảy thai.

Túi ối méo là dấu hiệu bất thường cần được theo dõi kỹ lưỡng để bảo vệ sức khỏe thai nhi
2. Túi ối nhỏ hơn tuổi thai
Khi kích thước túi ối nhỏ hơn so với tuổi thai tương ứng, đây có thể là dấu hiệu thai nhi chậm phát triển trong tử cung (IUGR) hoặc thiếu dinh dưỡng. Tình trạng này cần được bác sĩ đánh giá kỹ qua siêu âm và các xét nghiệm bổ sung. Mẹ bầu không nên tự lo lắng quá mức, nhưng cần tái khám theo đúng lịch hẹn để bác sĩ có thể can thiệp sớm nếu cần thiết.
Nếu bạn đang lo lắng về kết quả siêu âm, hãy để đội ngũ bác sĩ Khoa Sản Bệnh viện Đại học Phenikaa sẵn sàng giải đáp qua hotline 1900 886648 (tư vấn miễn phí).
Mẹ nên làm gì để thai nhi phát triển khỏe mạnh?
Hiểu rõ các vấn đề có thể xảy ra với túi ối giúp bạn chủ động hơn - nhưng quan trọng hơn cả là hành động đúng đắn ngay từ đầu. Vậy mẹ bầu cần làm gì để hạn chế rủi ro và hỗ trợ thai nhi phát triển tốt nhất?
1. Khám thai đúng lịch
Việc thăm khám định kỳ giúp theo dõi sát sao sự phát triển của thai nhi, đồng thời phát hiện sớm các bất thường (nếu có). Mẹ bầu nên tuân thủ lịch khám theo hướng dẫn của bác sĩ để đảm bảo thai kỳ luôn được kiểm soát tốt.
2. Ăn uống đầy đủ và cân đối
Chế độ dinh dưỡng hợp lý đóng vai trò quan trọng trong sự phát triển của em bé. Mẹ nên bổ sung đa dạng thực phẩm, đặc biệt là các dưỡng chất thiết yếu như sắt, canxi, axit folic và protein để hỗ trợ thai nhi phát triển khỏe mạnh.
3. Tránh xa các chất kích thích
Rượu bia, thuốc lá, cà phê và các chất kích thích khác có thể gây ảnh hưởng tiêu cực đến thai nhi. Vì vậy, mẹ bầu nên hạn chế tối đa hoặc loại bỏ hoàn toàn khỏi chế độ sinh hoạt hàng ngày.
4. Uống đủ nước mỗi ngày
Cung cấp đủ nước giúp duy trì môi trường ối ổn định và hỗ trợ các hoạt động trao đổi chất trong cơ thể. Mẹ bầu nên uống đủ nước và có thể bổ sung thêm các loại nước tự nhiên phù hợp.
5. Nghỉ ngơi hợp lý, giữ tinh thần thoải mái
Một tinh thần tích cực cùng chế độ nghỉ ngơi khoa học sẽ góp phần giúp thai nhi phát triển tốt. Mẹ nên ngủ đủ giấc, tránh căng thẳng và hạn chế làm việc quá sức trong suốt thai kỳ.

Mẹ bầu cần đi khám thai theo đúng lịch hẹn để được bác sĩ chuyên khoa tư vấn
Kết luận
Qua bài viết này, hy vọng bạn đã có thêm thông tin về túi ối và cách để theo dõi thai kỳ tự tin hơn. Mỗi mốc siêu âm đều là cơ hội để theo dõi sát sao sự phát triển của bé. Chủ động nắm rõ các chỉ số sẽ giúp bạn phát hiện sớm bất thường và can thiệp kịp thời, đảm bảo an toàn cho cả mẹ và con.
Để được thăm khám và tư vấn chuyên sâu, mẹ bầu nên lựa chọn cơ sở y tế uy tín với đội ngũ bác sĩ giàu kinh nghiệm. Khoa Sản Bệnh viện Đại học Phenikaa được nhiều gia đình tin chọn với đội ngũ bác sĩ chuyên sâu sản khoa, hệ thống máy siêu âm thế hệ mới và quy trình quản lý thai kỳ nguy cơ cao được chuẩn hóa. Nhờ đó, các bất thường được phát hiện sớm và xử trí kịp thời - bảo vệ an toàn cho cả mẹ và bé.
Nếu bạn đang có bất kỳ băn khoăn nào về sức khỏe thai kỳ, đừng ngần ngại liên hệ hotline 1900 886648 để được đội ngũ chuyên gia tại PhenikaaMec tư vấn trực tiếp và đặt lịch khám sớm nhất.






