Gói NIPT 4 là lựa chọn lý tưởng cho mẹ bầu muốn sàng lọc trước sinh sớm các bất thường nhiễm sắc thể ngay từ những tuần đầu của thai kỳ. Gói NIPT này có khả năng phát hiện 4 hội chứng điển hình gồm Down, Edwards, Patau và bất thường nhiễm sắc thể giới tính. Với độ chính xác cao và tính an toàn tuyệt đối, xét nghiệm giúp mẹ an tâm hơn trong suốt hành trình mang thai.
Phạm vi sàng lọc của xét nghiệm NIPT 4 là gì?
Xét nghiệm NIPT 4 được thiết kế để sàng lọc các bất thường nhiễm sắc thể (NST) thường gặp ở thai kỳ, bao gồm 3 lệch bội điển hình là Down (Trisomy 21), Edwards (Trisomy 18) và Patau (Trisomy 13), đồng thời mở rộng thêm khả năng phát hiện bất thường liên quan đến NST giới tính. So với NIPT 3, gói cơ bản chỉ kiểm tra 3 hội chứng phổ biến, NIPT 4 có phạm vi rộng hơn, giúp phát hiện thêm các rối loạn liên quan đến NST X và Y. Nhờ vậy, bạn nhận được thông tin sàng lọc toàn diện hơn để chủ động theo dõi và quản lý thai kỳ.
Dưới đây là thông tin chi tiết về các hội chứng mà NIPT 4 có thể phát hiện:
1. Hội chứng Down (Trisomy 21)
Là tình trạng thừa một nhiễm sắc thể số 21, gây ra các biểu hiện điển hình như chậm phát triển trí tuệ, giảm trương lực cơ, đặc điểm khuôn mặt đặc trưng (mắt xếch, sống mũi thấp), dị tật tim bẩm sinh hoặc bất thường tiêu hóa. Đây là hội chứng lệch bội phổ biến nhất ở trẻ sơ sinh và cũng là nguyên nhân hàng đầu gây chậm phát triển trí tuệ ở trẻ.

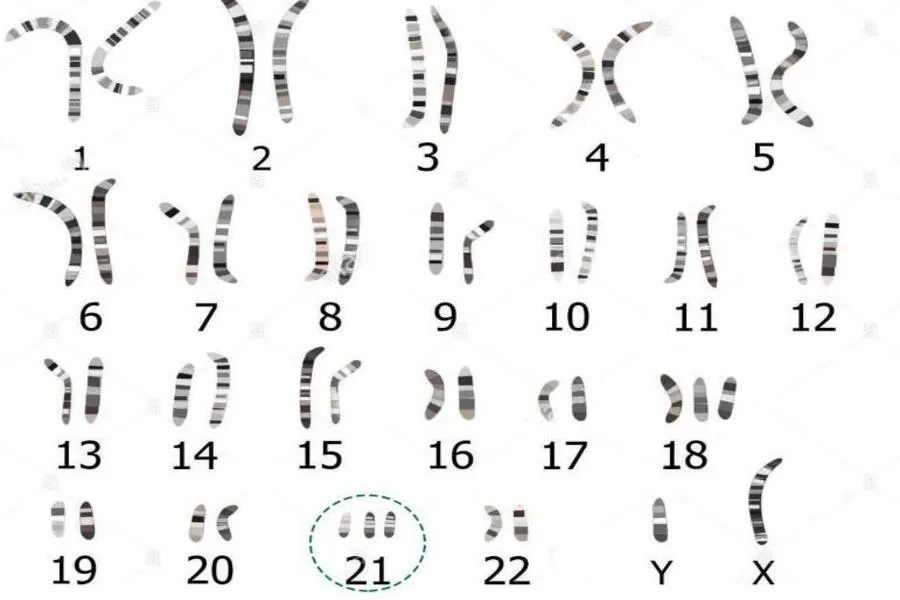
Kết quả xét nghiệm NIPT cho thấy thừa nhiễm sắc thể 21 chẩn đoán Hội chứng Down
2. Hội chứng Edwards (Trisomy 18)
Xảy ra khi có thừa một nhiễm sắc thể số 18. Trẻ mắc hội chứng này thường bị dị tật đa cơ quan như tim, thận, hệ thần kinh, bất thường hình dạng đầu (đầu nhỏ, trán dốc) và khuôn mặt (cằm nhỏ, tai thấp), bàn tay nắm chặt với các ngón chồng lên nhau, bàn chân hình vòm (rocker-bottom foot). Tiên lượng sống của trẻ rất kém, phần lớn không qua khỏi giai đoạn sơ sinh.

Xét nghiệm cho thấy thừa nhiễm sắc thể 18 chẩn đoán hội chứng Edwards (Trisomy 18)
3. Hội chứng Patau (Trisomy 13)
Hội chứng này xảy ra do thừa một nhiễm sắc thể số 13, gây dị tật nghiêm trọng ở não, tim, mắt, môi, vòm miệng và các cơ quan nội tạng khác. Trẻ mắc Patau thường có các đặc điểm sau: dị tật hệ thần kinh trung ương (não nhỏ, bất sản thể chai,...); dị tật tim bẩm sinh (thông liên thất, thông liên nhĩ, thân chung động mạch); bất thường vùng mặt (sứt môi - hở hàm ếch, mắt nhỏ...); thừa ngón tay hoặc ngón chân...
Tương tự như Edwards, tiên lượng sống của trẻ mắc Patau rất thấp, phần lớn tử vong trong giai đoạn sơ sinh hoặc vài tháng đầu đời.

Trẻ bị sứt môi - hở hàm ếch do ảnh hưởng của hội chứng Patau
4. Hội chứng Turner (45,X)
Là một dạng bất thường nhiễm sắc thể giới tính, trong đó nữ giới chỉ có một nhiễm sắc thể X thay vì hai như bình thường. Trẻ mắc hội chứng Turner thường có vóc dáng thấp, cổ rộng, có thể gặp bất thường tim, thận và khó khăn trong khả năng sinh sản.
Xét nghiệm NIPT 4 có cần thiết cho mẹ bầu không?
Câu trả lời là có. NIPT 4 là xét nghiệm được khuyến nghị rộng rãi cho mọi mẹ bầu, đặc biệt là những người thuộc nhóm nguy cơ cao. So với các phương pháp sàng lọc truyền thống như Double test hoặc Triple Test, gói NIPT này cho kết quả chính xác hơn, phát hiện sớm các bất thường nhiễm sắc thể phổ biến và giảm đáng kể nhu cầu thực hiện các thủ thuật xâm lấn, giúp mẹ bầu an tâm hơn trong suốt thai kỳ.
1. Phát hiện sớm các bất thường nhiễm sắc thể phổ biến
Từ tuần thứ 9, bạn có thể làm NIPT 4 để phát hiện sớm các bất thường nhiễm sắc thể phổ biến như Down, Edwards, Patau và bất thường nhiễm sắc thể giới tính từ tuần thứ 9 của thai kỳ. Nhờ vậy, giúp bác sĩ và gia đình chủ động theo dõi, can thiệp hoặc đưa ra quyết định y khoa kịp thời.
2. Xét nghiệm có độ chính xác cao
Xét nghiệm NIPT có độ chính xác cao (trên 99% đối với hội chứng Down), giảm tối đa số trường hợp phải thực hiện thủ thuật xâm lấn như chọc ối hoặc sinh thiết gai nhau, qua đó hạn chế nguy cơ sảy thai hay biến chứng cho mẹ và bé.
3. NIPT 4 đặc biệt hữu ích cho nhóm mẹ bầu nguy cơ cao
NIPT 4 đặc biệt hữu ích với các nhóm mẹ bầu có nguy cơ cao, bao gồm:
- Tuổi mẹ từ 35 trở lên.
- Các mẹ có tiền sử sinh con bị dị tật nhiễm sắc thể.
Kết quả siêu âm hoặc xét nghiệm sinh hóa (Double test, Triple test) cho thấy nguy cơ cao.

NIPT 4 đặc biệt hữu ích cho các mẹ có tiền sử sinh con bị dị tật nhiễm sắc thể
Chi phí thực hiện xét nghiệm NIPT 4 cặp nhiễm sắc thể
Hiện nay, chi phí thực hiện gói NIPT 4 thường dao động trong khoảng 2.000.000 - 3.500.000 VNĐ, tùy thuộc vào cơ sở y tế và dịch vụ đi kèm. Một số yếu tố chính ảnh hưởng đến chi phí gồm:
- Hệ thống máy móc và công nghệ xét nghiệm: Việc sử dụng các nền tảng giải trình tự gen thế hệ mới, đạt chuẩn quốc tế, giúp tăng độ tin cậy của kết quả và rút ngắn thời gian trả kết quả, thường đi kèm mức chi phí cao hơn.
- Nơi phân tích mẫu: Mẫu được xử lý và phân tích ngay tại bệnh viện hoặc trung tâm xét nghiệm đạt chuẩn sẽ giúp kiểm soát chất lượng chặt chẽ, đồng thời hạn chế các rủi ro trong quá trình vận chuyển.
- Chế độ chăm sóc và dịch vụ hỗ trợ: Một số cơ sở tích hợp thêm dịch vụ tư vấn di truyền, giải thích kết quả trực tiếp với bác sĩ chuyên khoa, trả kết quả sớm hoặc gói theo dõi thai kỳ sau xét nghiệm, làm tăng giá trị tổng thể của dịch vụ.
Mặc dù chi phí NIPT 4 thường cao hơn các xét nghiệm sàng lọc truyền thống, nhưng đổi lại là độ chính xác vượt trội, an toàn tuyệt đối và khả năng phát hiện sớm các hội chứng di truyền quan trọng, giúp bạn yên tâm hơn khi theo dõi thai kỳ.
Lý do nên thực hiện NIPT 4 tại Bệnh viện Đại học Phenikaa
Bệnh viện Đại học Phenikaa là địa chỉ uy tín được nhiều mẹ bầu lựa chọn để thực hiện NIPT 4 nhờ hội tụ nhiều yếu tố đảm bảo chất lượng:
- Công nghệ hiện đại: Ứng dụng hệ thống máy tách chiết và chuẩn bị thư viện tự động cùng máy giải trình tự gen GenoLab M đạt chuẩn quốc tế CE-IVD, cho kết quả phân tích ADN với độ chính xác cao.
- Quy trình khép kín tại bệnh viện: Từ khâu lấy mẫu, phân tích đến trả kết quả đều được thực hiện ngay tại bệnh viện, giúp rút ngắn thời gian chờ và hạn chế tối đa rủi ro.
- Đội ngũ chuyên môn: Bác sĩ Sản khoa và chuyên gia Di truyền giàu kinh nghiệm, trực tiếp tư vấn và giải đáp kết quả, giúp bạn hiểu rõ ý nghĩa xét nghiệm.
- Bảo mật và hỗ trợ toàn diện: Cam kết bảo mật thông tin tuyệt đối, đồng thời cung cấp các gói chăm sóc thai sản trọn gói để bạn được theo dõi sát sao suốt thai kỳ.

Trung tâm Di truyền – Bệnh viện Đại học Phenikaa được trang bị hệ thống máy giải trình tự gen thế hệ mới GenoLab M Dx đánh giá kết quả xét nghiệm nhanh chóng, chính xác
Kết luận
Xét nghiệm NIPT 4 là gói xét nghiệm sàng lọc trước sinh không xâm lấn, an toàn và có độ chính xác cao, giúp phát hiện sớm 4 nhóm bất thường nhiễm sắc thể quan trọng gồm Down, Edwards, Patau và bất thường NST giới tính. Với phạm vi sàng lọc rộng hơn gói cơ bản NIPT 3, NIPT 4 mang lại thông tin toàn diện hơn, hỗ trợ mẹ bầu và bác sĩ chủ động theo dõi, quản lý thai kỳ.
Bạn có nhu cầu thăm khám sức khỏe và thực hiện xét nghiệm NIPT 4, hãy liên hệ hotline 1900 886648 (tư vấn 24/7) để được hướng dẫn cụ thể và đặt lịch khám cùng bác sĩ chuyên khoa.






