Chào bạn Thảo Nguyên! Cảm ơn bạn đã tin tưởng và gửi câu hỏi đến chuyên mục Hỏi đáp của Bệnh viện Đại học Phenikaa. Polyp cổ tử cung là một trong những bệnh lý phụ khoa khá phổ biến, đặc biệt ở phụ nữ trên 30 tuổi. Khi phát hiện polyp, nhiều chị em thường lo lắng không biết polyp cổ tử cung có gây ung thư không? Bài viết dưới đây sẽ giúp bạn hiểu rõ hơn về căn bệnh này.
Polyp cổ tử cung là gì?
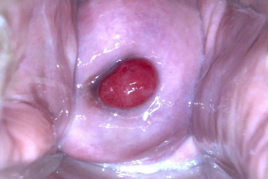
Polyp cổ tử cung là những khối u lành tính. Chúng hình thành từ mô đệm bên trong cổ tử cung và được bao phủ bởi lớp biểu mô. Chúng có thể có cuống hoặc không, kích thước từ vài milimet đến vài centimet, thường không có triệu chứng rõ rệt. Một số chị em có thể xuất hiện khí hư nhiều, chảy máu giữa kỳ kinh hoặc sau quan hệ. Mặc dù đa số là lành tính, khoảng 1% polyp có nguy cơ tiến triển thành ung thư.
Polyp cổ tử cung là khối u mềm, dễ tổn thương, thường xuất hiện trên bề mặt hoặc trong ống cổ tử cung, có màu hồng nhạt và dễ chảy máu khi va chạm. Đây là bệnh phụ khoa phổ biến ở phụ nữ 40–50 tuổi, thường không có triệu chứng và được phát hiện tình cờ khi khám định kỳ.

Polyp cổ tử cung có dạng khối u nhỏ màu đỏ hồng, dễ nhận thấy khi thăm khám phụ khoa
Polyp cổ tử cung có gây ung thư không?
Phần lớn polyp cổ tử cung thường lành tính và ít gây nguy hiểm. Tuy vậy, nếu không được xử lý kịp thời, chúng có thể kéo theo nhiều hệ lụy cho sức khỏe sinh sản và tổng thể. Những biến chứng có khả năng xảy ra bao gồm:
- Khí hư tiết nhiều khiến vùng kín luôn ẩm ướt, tạo môi trường thuận lợi cho vi khuẩn phát triển và gây viêm nhiễm phụ khoa.
- Xuất hiện tình trạng rong kinh hoặc xuất huyết tử cung kéo dài dẫn đến thiếu máu mạn tính.
- Phụ nữ mang thai có polyp cổ tử cung dễ đối diện với nguy cơ sảy thai, sinh non hoặc nhau tiền đạo.
- Polyp còn có thể ảnh hưởng đến khả năng thụ thai.
Mặc dù tỷ lệ thấp (~1%), một số polyp vẫn có thể tiến triển thành ung thư, đặc biệt nếu xuất hiện nhiều polyp, có viêm hoặc hoại tử và không được phát hiện sớm. Vì vậy, việc thăm khám định kỳ, theo dõi sự phát triển của polyp và điều trị theo chỉ định bác sĩ là cách tốt nhất để phòng tránh biến chứng nguy hiểm, bao gồm cả nguy cơ ung thư.

Polyp cổ tử cung có nguy cơ rất nhỏ tiến triển thành ung thư cổ tử cung
Tìm hiểu thêm:
- Tiêm Phòng Ung Thư Cổ Tử Cung: Tác Dụng, Độ Tuổi, Chi Phí Và Lưu Ý Khi Tiêm
- Top 10 Dấu Hiệu Ung Thư Cổ Tử Cung Chị Em Cần Biết Để Phát Hiện Sớm
Phương pháp điều trị polyp cổ tử cung
Sau khi hiểu về nguy cơ ung thư, bạn cũng cần biết các phương pháp điều trị hiện nay. Tin tốt là: một số polyp nhỏ có thể tự tiêu biến mà không cần can thiệp. Tuy nhiên, nếu có triệu chứng rõ rệt hoặc ảnh hưởng đến sức khỏe, bác sĩ sẽ đề xuất phác đồ điều trị phù hợp. Phương án được lựa chọn dựa trên: mức độ triệu chứng, khả năng ác tính và nhu cầu sinh sản của bạn, bao gồm:
1. Theo dõi định kỳ
Nếu polyp lành tính và không gây triệu chứng, bác sĩ có thể chỉ định theo dõi mà chưa cần điều trị. Bạn nên tái khám định kỳ để kiểm soát sự phát triển của polyp, vì nhiều trường hợp nhẹ có thể tự hết mà không cần can thiệp.
2. Điều trị bằng thuốc
Hiện nay, điều trị nội khoa không phải là phương pháp chính đối với polyp cổ tử cung. Một số thuốc điều chỉnh nội tiết (như progestin hoặc chất chủ vận GnRH) có thể được sử dụng tạm thời trong trường hợp có rối loạn nội tiết kèm theo hoặc ra huyết bất thường, nhằm cải thiện triệu chứng. Tuy nhiên, biện pháp này không giúp loại bỏ hoàn toàn polyp và tổn thương có xu hướng tái phát sau khi ngừng thuốc.
Do đó, phương pháp điều trị chủ yếu vẫn là cắt bỏ polyp, kết hợp điều trị nguyên nhân nền (viêm nhiễm hoặc mất cân bằng nội tiết) để hạn chế tái phát.
3. Phẫu thuật cắt polyp
Sau khi cắt, mẫu polyp được gửi xét nghiệm nhằm loại trừ ác tính. Nếu phát hiện tế bào ung thư, bác sĩ sẽ hướng dẫn các phương án điều trị phù hợp, có thể bao gồm phẫu thuật rộng hơn nếu cần. Nhiều nghiên cứu cho thấy, việc cắt polyp cổ tử cung có thể giúp cải thiện từ 75% đến 100% triệu chứng và khả năng tái phát sau phẫu thuật là rất thấp.

Tùy vào kích thước, vị trí, bác sĩ sẽ lựa chọn phương pháp cắt polyp phù hợp
Biện pháp phòng ngừa polyp cổ tử cung
Để giảm thiểu nguy cơ hình thành polyp cổ tử cung và bảo vệ sức khỏe sinh sản, chị em có thể chủ động áp dụng nhiều biện pháp đơn giản trong đời sống hằng ngày. Dưới đây là những cách phòng ngừa hiệu quả mà bác sĩ khuyến nghị:
1. Khám phụ khoa và tầm soát định kỳ
Bạn nên thường xuyên đi khám phụ khoa để phát hiện sớm bất thường ở cổ tử cung. Bác sĩ có thể khuyến cáo nên thực hiện các xét nghiệm tầm soát ung thư cổ tử cung như xét nghiệm tế bào cổ tử cung và xét nghiệm virus HPV để phát hiện nguy cơ ác tính kịp thời.
2. Vệ sinh vùng kín và quan hệ tình dục an toàn
Để giảm thiểu nguy cơ mắc polyp cổ tử cung, bạn cũng nên giữ vệ sinh vùng kín đúng cách, sử dụng dung dịch dịu nhẹ, tránh thụt rửa sâu. Ngoài ra cũng nên quan hệ tình dục an toàn: sử dụng bao cao su, hạn chế quan hệ với nhiều bạn tình để giảm nguy cơ viêm nhiễm.
3. Lối sống lành mạnh
Bạn hãy duy trì chế độ ăn uống cân bằng, bổ sung rau xanh, trái cây giàu vitamin và khoáng chất. Kết hợp với tập thể dục đều đặn, duy trì cân nặng hợp lý, tránh thừa cân hoặc béo phì. Quản lý căng thẳng, hạn chế stress kéo dài và chỉ sử dụng các loại thuốc nội tiết tố (thuốc tránh thai, estrogen) theo đúng chỉ định của bác sĩ giúp phòng ngừa các bệnh lý.
4. Điều trị triệt để các bệnh phụ khoa
Bạn nên đi khám định kỳ và điều trị dứt điểm các bệnh viêm phụ khoa như viêm âm đạo, viêm cổ tử cung, viêm lộ tuyến, tránh để tình trạng viêm kéo dài tạo điều kiện hình thành polyp.

Khám phụ khoa định kỳ giúp phát hiện sớm và phòng ngừa polyp cổ tử cung
Kết luận
Thắc mắc polyp cổ tử cung có gây ung thư không của bạn đã được chuyên gia giải đáp. Hầu hết polyp cổ tử cung là lành tính, nhưng vẫn cần theo dõi định kỳ để phát hiện những trường hợp bất thường. Xét nghiệm tế bào cổ tử cung và sinh thiết polyp là những biện pháp hiệu quả để tầm soát nguy cơ ung thư cổ tử cung. Để được thăm khám và tư vấn chuyên sâu, bạn hãy đến với Bệnh viện Đại học Phenikaa. Đội ngũ bác sĩ trình độ chuyên môn cao, kinh nghiệm lâu năm cùng với hệ thống trang thiết bị hiện đại hỗ trợ chẩn đoán và điều trị hiệu quả nhất. Nếu còn bất cứ thắc mắc nào, bạn hãy liên hệ hotline: 1900 886648 để được hỗ trợ sớm nhất nhé!



![[Giải Đáp] Làm Double Test Rồi Có Cần Làm Triple Test Không?](https://cdn.phenikaamec.com/phenikaa/benh-hoc/10-16-2025/db0d9b42-e3af-4eb6-9688-b4dc441086d8-lam-double-test-roi-co-can-lam-triple-test-khong.webp)

